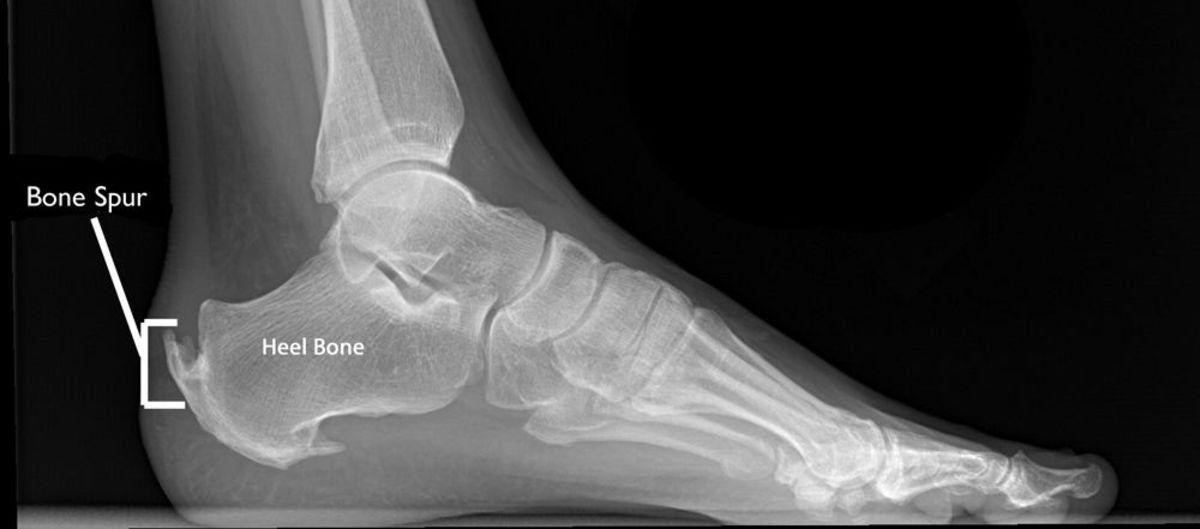
A bone spur (osteophyte) is an abnormal bony growth that forms when the body deposits extra calcium on the surface of bones. Bone spurs typically form in response to injuries such as osteoarthritis, joint trauma, and joint overuse. Bone spurs are usually smooth and benign but can cause wear and tear or pain if they press or rub on other bones or soft tissues such as ligaments, tendons, or nerves. Bone spurs commonly occur in the joints of the spine, shoulders, hands, hips, knees, and feet. Joint degeneration due to aging causes most bone spurs that form in the frequently used joints of the spine and feet. Besides joint injury including osteoarthritis, joint trauma, joint overuse and degeneration, a liver deficiency is another underlying cause of bone spurs.

Osteoarthritis, joint trauma, joint overuse and degeneration can cause a progressive loss of articular cartilage which is accompanied by new bone formation. In the injured cartilage, articular chondrocytes can assume the hypertrophic phenotype that causes the mineralization of the growth plate and of the cartilage matrix. Such abnormal mineralization and crystal formation in the articular cartilage can lead to the development of bone spurs.
Pathogenesis
Normal chondrocytes produce a matrix Gla protein (MGP) that is fully γ-carboxylated (cMGP). The γ-carboxylation of the MGP in chondrocytes is Vitamin K dependent. Fully γ-carboxylated MGP binds with fetuin-A to form the fetuin-MGP complex. In both cartilage and bone, the fetuin–MGP complex has high affinity for nascent mineral nuclei and thus prevents mineralization and inhibits bone spur formation.
Normal
In hypertrophic chondrocytes, the MGP’s produced are un-carboxylated (ucMGP) because they cannot utilize the Vitamin K. An ucMGP cannot form a complex with fetuin A to scavenge the mineral nuclei or inhibit mineralization to prevent bone spur formation. cMGP also has the ability to bind bone morphogenetic proteins-2 (BMPs-2) and bone morphogenetic proteins-4 (BMPs-4). BMPs-2 and BMPs-4 are transforming growth factors that stimulate cartilage and bone formations.
Hypertrophic Chondrocyte
cMGP prevents these growth factors from transforming cells into bone forming cells and inhibits unnecessary and abnormal bony growths. When MGP is inactive (ucMGP) or absent from tissues, the BMPs become uninhibited and the action of BMP becomes pronounced, causing extensive calcification and bone formation leading to the development of bone spurs.
The γ-carboxylation of MGP in chondrocytes is a crucial process in preventing bone spur formation. It is a Vitamin K dependent reaction. Vitamin K is an essential cofactor in post-translational modification of a family of proteins where specific Glu residues in the protein sequence become modified to Ca2+ binding γ-carboxyglutamic acid residues (Gla). Chondrocytes synthesize MGP and utilize the Vitamin K to catalyze post-translational γ-carboxylation of MGP. Supplies of Vitamin K to the chondrocyte and other soft tissue is essential in preventing soft tissue mineralization and bone spur formation.
Dietary Vitamin K, mainly as phylloquinone, is a fat-soluble vitamin which is absorbed chemically unchanged from the proximal intestine after solubilization into mixed micelles composed of bile salts and the products of pancreatic lipolysis. Insufficient quantities of bile or deficient bile due to a liver deficiency could cause a Vitamin K deficiency. An epidemiologic study has shown a correlation between low plasma levels of phylloquinone (primary plasma form of Vitamin K) and the presence of bone spur on knee radiographs.